
Cavity Fillings: Purpose, Procedure, and Aftercare

A small treatment now, prevents big dental troubles later. Protect your smile with timely cavity care.
Maintaining optimal oral health is a cornerstone of overall well-being. Dental cavities, those pesky and often painful spots of tooth decay, can be a major roadblock on the journey to a healthy smile. Thankfully, modern dentistry offers a tried-and-true solution: cavity fillings. In this comprehensive guide, we’ll dive into the purpose and benefits of cavity fillings, the intricate procedure that brings back your smile’s charm, and the essential aftercare that ensures lasting results.
Purpose of Cavity Fillings
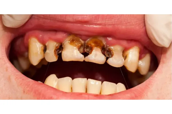
Cavities, the result of plaque buildup and bacterial activity, lead to the erosion of tooth enamel and the formation of small holes. The consequences of untreated cavities are far from minor, ranging from discomfort to severe infections. Dental fillings near you serve several crucial purposes:
Restoration of Tooth Structure: Cavities compromise the structure of your teeth. Fillings step in to restore this structure, preventing further decay and restoring normal tooth function.
Infection Prevention: Left unchecked, cavities can turn into a breeding ground for harmful bacteria. Fillings seal
Relief from Pain: Cavities often expose sensitive nerves, leading to pain and discomfort. Fillings cover these nerves, providing relief from the twinges that can accompany cavities.
The procedure of Cavity Fillings
Cavity filling is a precise process that involves several steps, ensuring a seamless restoration:
Preparation: Your dentist will assess the extent of the cavity using X-rays and administer local anesthesia for a painless experience.
Decayed Material Removal: Using advanced tools like dental drills or lasers, the decayed portion of the tooth is gently removed. The cavity is then shaped to accommodate the filling.
Filling Material Selection: The filling material can vary, including options like amalgam, composite resin, ceramic, and glass ionomer. Your dentist will help you choose the best fit.
Filling Placement: The chosen material is skillfully layered and bonded into the prepared cavity. The dentist near you ensures a comfortable bite alignment.
Finishing Touches: The filling is polished for a smooth surface, mimicking the appearance of a natural tooth. Any necessary adjustments are made for optimal comfort.
Aftercare for Cavity Fillings
Post-procedure care is vital for ensuring the longevity of your filling and overall oral health:
Do’s:
Oral Hygiene: Continue regular brushing and flossing to prevent new cavities.
Antimicrobial Mouthwashes: This helps keep bacteria at bay.
Follow-Up Appointments: Regular check-ups ensure the filling’s condition is monitored
and any issues are promptly addressed.
Don’ts:
Avoid Sugary Foods: Minimize your intake to prevent new cavities.
Avoid Chewing on Hard Objects: Protect your filling from damage.
Rest and Eating After a Cavity Filling: Rest for a few hours after the procedure to allow the anesthesia to wear off. You can typically eat once the numbness subsides, usually within 2-3 hours. However, avoid extremely hot or cold foods for the first day to prevent sensitivity.
Work After Getting Fillings: Returning to work after a cavity filling is generally feasible. If you experience discomfort or multiple fillings were placed, consider taking the rest of the day off for your comfort.
Benefits of Timely Cavity Filling
Prevention of Further Decay and Damage: Timely cavity filling halts the progression of decay. By sealing off the cavity, you prevent bacteria from penetrating deeper into the tooth and causing more extensive damage. This proactive approach saves you from potential complications that can arise from untreated cavities, such as infections and abscesses.
Avoidance of More Extensive and Costly Treatments: Leaving a cavity untreated can lead to more severe dental problems. What might have initially required a simple filling could escalate to the need for root canals, dental crowns, or even extractions. These procedures are not only more invasive but also costlier than routine cavity filling.
Preservation of Natural Tooth Structure: Cavity fillings are designed to restore the tooth’s structure while maintaining its natural look. This means that a significant portion of your natural tooth can be saved, preventing the need for more drastic measures like extraction. Maintaining your original teeth is essential for optimal oral health and functionality.
Enhanced Oral Comfort and Functionality: Cavities can cause discomfort, sensitivity, and pain. By addressing these issues through cavity fillings in Dublin, you improve your oral comfort and overall quality of life. You can savor your preferred meals
Cavity fillings aren’t just about restoring your smile’s aesthetics; they’re a vital step in maintaining your oral health and overall quality of life. By understanding their significance, undergoing the procedure with professionals like View Mobile Dental, and following the aftercare guidelines, you’re making an investment in your well- being that will pay dividends in the long run. Remember, prevention is key: regular dental check-ups and a diligent oral hygiene routine can significantly reduce the need for future cavity fillings. Your smile deserves nothing less than the best care!
